Οι 7 χρυσοί κανόνες για υγιή μάτια
Σε πρόσφατη δημοσίευση στο American Journal of Medicine, ερευνητές από τις ΗΠΑ αναφέρουν πως η καλή κατάσταση του καρδιοαγγειακού συστήματος μειώνει σημαντικά την πιθανότητα οφθαλμικών παθήσεων, πρωτίστως της διαβητικής αμφιβληστροειδοπάθειας (Noah De La Cruz, Obadeh Shabaneh, Duke Appiah. The Association of Ideal Cardiovascular Health and Ocular Diseases Among US Adults. The American Journal of Medicine, 2020 DOI: 10.1016/j.amjmed.2020.06.004).
Παγκοσμίως 2,2 δισεκατομμύρια άνθρωποι υποφέρουν από κάποια οφθαλμική νόσο η οποία τους περιορίζει την όραση από λίγο έως πλήρως. Οι συχνότερες αιτίες μείωσης της όρασης ή ακόμα και τύφλωσης είναι η ηλικιακή εκφύλιση της ωχράς κηλίδας, η διαβητική αμφιβληστροειδοπάθεια, ο καταρράκτης και το γλαύκωμα.
Είναι η πρώτη φορά που εξετάζεται διεξοδικά η σχέση όλων των παραμέτρων που επηρεάζουν την σωστή καρδιαγγειακή λειτουργία με την υγεία των οφθαλμών.
Οι περισσότερες οφθαλμικές παθήσεις δεν εμφανίζουν, παρά ήπια μόλις συμπτωματολογία στα αρχικά τους στάδια κι έτσι πολλοί ασθενείς δεν αναζητούν έγκαιρα ιατρική βοήθεια. Σε μία στατιστική μελέτη στις ΗΠΑ με 2044 συμμετέχοντες, προέκυψε πως το 47% θεωρεί την απώλεια όρασης την χειρότερη πάθηση η οποία θα μπορούσε να τους προσβάλει.
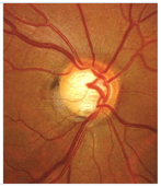
Γλαυκωματικό Οπτικό Νεύρο Φυσιολογικό Οπτικό Νεύρο


Οι 7 παράγοντες τους οποίους η αμερικανική καρδιολογική εταιρεία έχει καθορίσει ως τους σημαντικότερους (LS7, Life’s Simple Seven) για υγιές καρδιαγγειακό σύστημα είναι οι ακόλουθοι:
- Αποφυγή καπνίσματος
- Τακτική σωματική άσκηση
- Φυσιολογικό βάρος
- Υγιεινή διατροφή
- Φυσιολογικά επίπεδα χοληστερόλης, σακχάρου κι αρτηριακής πίεσης
Ηλικιακή Εκφύλιση Ωχράς Κηλίδας

Η πρόσφατη αυτή μελέτη ανέδειξε στατιστικά σημαντική μείωση της πιθανότητας προσβολής από γλαύκωμα, διαβητική αμφιβληστροειδοπάθεια, καταρράκτη κι ηλικιακή εκφύλιση της ωχράς κηλίδας.
Συγκεκριμένα οι εξεταζόμενοι οι οποίοι εμφανίζουν υγιές καρδιαγγειακό σύστημα διατρέχουν 97% χαμηλότερη πιθανότητα να προσβληθούν από μία εκ των παραπάνω νόσων.
Οι ερευνητές ανέλυσαν δεδομένα από 6118 ενήλικες ηλικίας άνω των 40 ετών.
Ευάγγελος Τσίχλης, ΜD,PhD,
Χειρ. Υαλώδους/Αμφιβήστροειδούς
Διαδάκτωρ Παν/μίου Χαϊδελβέργης


